Histo Pathological Image Analysis
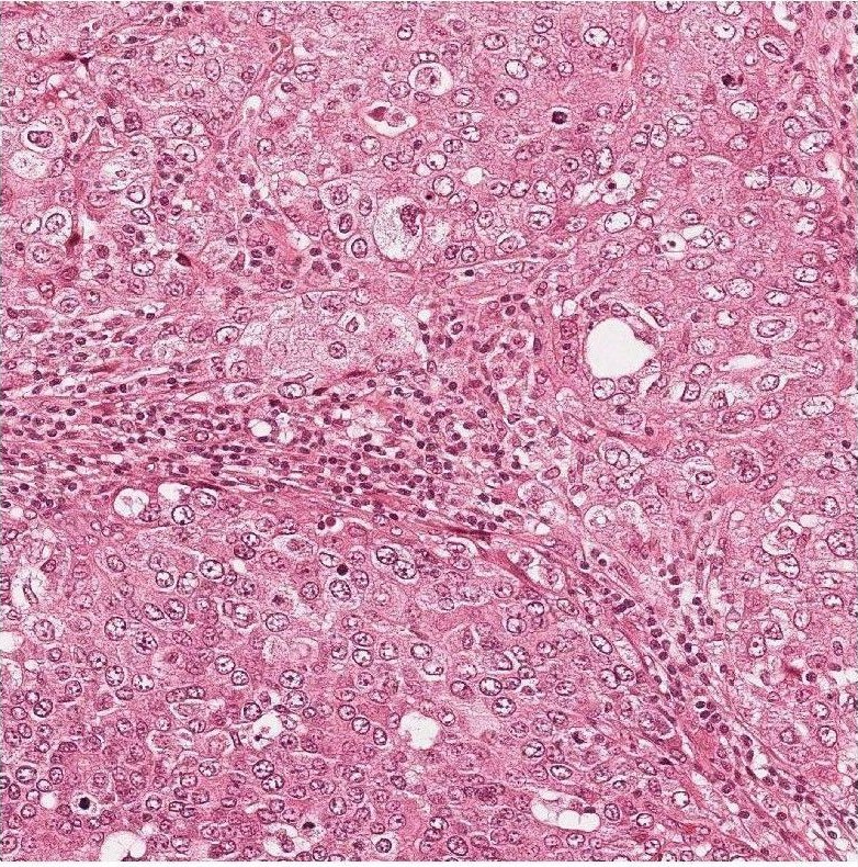
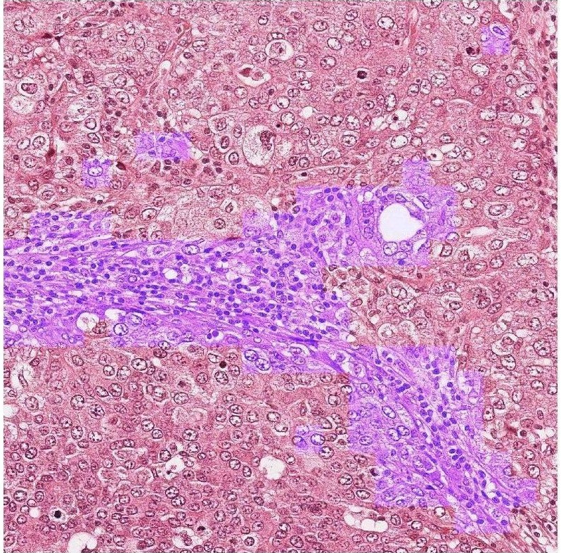
Automated analysis of histo-pathological images is attracting much interest in the recent past .Most of these images are largely characterised by colour, textural and morphological features and not gross anatomical structures found in radiology (neuroimages, lung,CT etc). A fundamental task in CAD tool development for histopathological images is detection and segmentation of structures such as lymphocytes, nuclei, stroma, etc.
In regards to histopathological image analysis, we are currently working on mitosis detection in H & E stained breast biopsy slides .Mitosis detection and quantification is a key task in grading of cancer. In designing a pipeline for the detection problem, identification of stroma in the tissue is important when comes to rejection of false candidates.
![]() |
![]() |
People Involved
- Anisha

